A woman with long hair, wearing a black top, smiling and looking into a mirror in a bathroom setting.

Smile Gallery

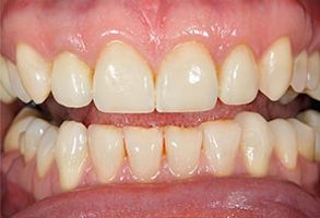
The image shows a close-up of a person s mouth with yellowish teeth and gums, indicating the need for dental care.

Before

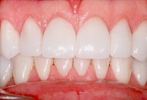
The image shows a close-up of a person s smiling face, focusing on their teeth and mouth.

After

The image shows a close-up of an individual s teeth with yellowing, indicating possible dental issues such as staining or decay.

Before

The image shows a close-up of a person s teeth with some discoloration, likely from coffee or tobacco use.

After

The image is a close-up photograph of a person s face, focusing on the lower half, particularly the mouth and teeth.

Before

The image is a close-up of a person s lower face, showing teeth and lips, with a focus on the teeth.

After

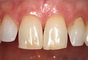
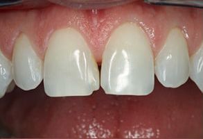
The image displays a close-up view of a person s teeth, showcasing the upper front teeth with a focus on their condition and appearance.

Before

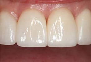
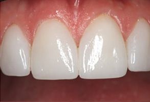
White teeth with a red gumline, showcasing a dental implant or bridge.

After

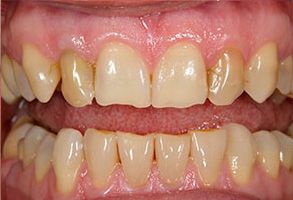
Image of a close-up view of a person s teeth with visible signs of decay and discoloration.

Before

Dental implant with a natural-looking crown.

After

Dental implant with a natural-looking crown.

Before

Close-up of a person s teeth with a focus on the lower front teeth, showcasing a dental procedure or transformation.

After

The image shows a close-up of a person s teeth with visible staining and discoloration, against a blurred background that appears to be the interior of a mouth or dental setting.

Before

The image shows a close-up of a person s teeth with a focus on the lower front teeth, which appear to be yellowed or stained.

After

Schedule a visit today!
Contact Us
Submit

Thank You!

We appreciate you taking the time to visit our site. We'll review your message and be in touch with you soon.

Continue
The image shows an interior space that appears to be a waiting area or lobby, featuring a reception desk with a computer monitor, a seating area with two black chairs and a wooden bench, a countertop with a sink, and a wall with a framed picture. The color scheme is neutral, with shades of gray and blue dominating the space.